Doctor’s Corner
CASE 1
45 year old asymptomatic woman had a Screening Mammogram and was advised to return for Whole Breast Ultrasound Screening because of her breast density and maternal history of breast cancer at age 54.The mammogram shows marked fibrocystic change with multiple microcalcifications and cysts, but no suspicious findings. Whole Breast Ultrasound Screening showed numerous less than 1 cm cysts, and also an 11 mm suspicious, spiculated mass at 12:00 on the right.
Ultrasound-guided core biopsy showed a well-differentiated infiltrating ductal carcinoma. MRI showed a second suspicious focus of enhancement anterior to the mass detected with ultrasound. As there was no corresponding lesion seen with ultrasound or mammography, MRI guided biopsy of this possible second tumor was performed, and showed atypical ductal hyperplasia but no additional cancer.
The patient underwent lumpectomy and sentinel node sampling, with removal of both core biopsy sites. A single focus of well-differentiated infiltrating ductal carcinoma was found, corresponding in size and location with the posterior mass detected with Whole Breast Ultrasound Screening.
The mammogram on the upper right shows extremely dense parenchyma with multiple calcifications scattered throughout, but no focal abnormality.
Ultrasound, MRI, and surgical pathology all showed negative nodes. Genetic testing for breast cancer genes was negative.

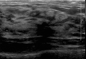
Single frame from Whole Breast Ultrasound Screening study showing a spiculated mass in the right breast.

Figure 3: A single image from the MRI shows the cancer and adjcent enhancement.
CASE 2
Case 2. This 47 year old woman presented for screening with no symptoms. Her mammogram was negative but she was advised to have Whole Breast Ultrasound Screening because of the relatively dense parenchyma demonstrated on her mammogram. Whole Breast Ultrasound showed an extensive abnormality in the left breast, involving virtually the entire left upper outer quadrant. The MRI shows the infiltrative nature of the cancer, which does not form a solid mass, even though a large segment of the breast is involved. Core biopsy and subsequent mastectomy showed invasive lobular carcinoma with involvement of one intramammary lymph node. The pathologist described the cancer as “veins in marble”.
Figure 1: Mammograms of the left breast show moderately dense tissue but no abnormality.

Figure 2: Single frames from the Whole Breast Ultrasound Screening show extensive areas of tumor.

Figure 3: Single image from the MRI shows involvement of the left upper outer quadrant with tumor.
